医院动态
- 寿光市政协委员来887700线路检测网调研中医药发展工作
- 内强素质、外塑形象丨丨887700线路检测网完成为期一个月的导诊护士系统化培训
- 预防儿童口腔疾病丨丨做到以下四点
- 中西医结合,一站式服务丨丨887700线路检测网老年病科
- 气道健康 从鼻开始丨丨中医特色疗法帮您通鼻窍
- 不忘初心 迎接挑战丨丨887700线路检测网2022年度“手术能手”—苏山林
- 赴春天之约 绽巾帼芳华丨丨887700线路检测网成功举办“庆三八·健步走”活动
- 群策群力、共谋发展 丨丨寿光市促进中医药传承创新发展座谈会在中医医院召开
- 只为最美的初见丨丨准妈妈们,887700线路检测网孕妇学校即将开课,免费听课,快来参加!
- 为什么易得龋齿?让“龋态检测”来告诉您(内有福利)
- 公平竞争 选贤任能丨丨887700线路检测网圆满完成副护士长竞聘工作
- 提技能、强沟通、促高效、共发展丨丨887700线路检测网召开医技科室业务发展交流会
- 镜”艺求精,无微不“治”!丨丨887700线路检测网2022年度“手术能手”—王述伟
- 用精湛医术为患者撑起主心“骨”丨丨887700线路检测网2022年度“手术能手”—杨志全
- 南下取真经,服务再升级丨丨887700线路检测网外出交流学习,助推医院加速发展
- 用心手术 屡创佳绩丨丨887700线路检测网2022年度“手术能手”—张永青
- 妙手除病痛丨丨887700线路检测网2022年度“手术能手”—孙文宝
- 亮成绩、谈不足、谋发展、促进步丨丨887700线路检测网召开临床科室业务发展交流会
- 勇攀高峰,创造奇迹丨丨887700线路检测网2022年度“手术能手”—孙英春
- 踔厉奋发 勇毅前行 赓续医院高质量发展新篇章丨丨887700线路检测网召开2022年度工作表彰大会
惧怕胃镜检查的亲们看过来丨丨胃肠超声造影检查项目
俗话说,胃好,才能吃好、喝好、玩好。胃不好怎么办?大部分患者第一反应是进行胃镜检查。可一说起胃镜,很多人都会感到害怕,很难接受,并且,常常会有患者在出现胃病时由于不敢进行胃镜检查,让自己拖延,导致更加严重的疾病发生。
经过超声工作者的不断研究探索,胃肠超声造影近几年来快速发展,日趋成熟,2018年起被国家卫健委认定为胃肠道肿瘤早诊筛查适宜技术。
为适应发展趋势,887700线路检测网引进胃肠造影检查技术,满足广大患者需求。
胃肠超声充盈造影技术
胃肠超声造影检查法又称胃肠充盈检查法,通过空腹饮用造影剂500-600 ml,使胃肠充盈,充盈胃肠腔后在声像图上显示类似于实质性组织的回声,消除了胃腔内的气体及粘液干扰,和胃肠壁及肝、胆、脾、胰之间产生明显的对比效应,清晰地显示胃肠壁的层次结构,从而使胃肠内腔产生最佳的声学造影效果。
检查前准备
胃和十二指肠检查者建议上午空腹检查(禁食8小时,禁水4小时),结肠检查者需要进行肠道清洁准备。
关于胃肠超声造影剂
胃肠彩超检查时,患者仅需喝500ml速溶胃肠超声造影剂,胃超声造影剂形似“奶茶”,成分采用的是药食同源的绿色配方,含有意苡仁、陈皮、淮山药等秘制而成,不含有任何化学添加剂,对人体无副作用,还很美味!
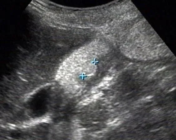
病例展示
胃体息肉
胃间质瘤
胃贲门癌
十二指肠球前壁溃疡
胃肠超声检查的优势
1. 准确、无痛、无创、无交叉感染、无放射伤害, 人群广泛。
2. 不需要特殊的准备和要求,可用以大规模的胃疾病的普查及筛查。
3. 可实时、多次从不同角度对胃肠进行扫查,同时观察胃张力、蠕动及排空情况,并适合进行长期随访、复查。
4. 不仅能够显示胃腔内的病变,而且能清晰显示胃粘膜下肿瘤,观察肿瘤内的结构特征及病变范围、浸润深度。
5. 提高对邻近组织器官(胰腺、肝外胆管、腹腔和腹膜后淋巴结)的超声显示能力。
适应人群
1. 所有健康体检人群。
2. 有胃肠功能紊乱,急性、慢性胃肠炎,胃溃疡等,如:有上腹疼痛、饭后饱胀、嗳气、反酸甚至恶心呕吐等反应的人群。
3. 老人、儿童、孕妇、心脏病患者、糖尿病患者、术后或治疗后复查。
禁忌症
急性胃扩张,上消化道穿孔、上消化道活动性出血。









