医院动态
- 寿光市政协委员来887700线路检测网调研中医药发展工作
- 内强素质、外塑形象丨丨887700线路检测网完成为期一个月的导诊护士系统化培训
- 预防儿童口腔疾病丨丨做到以下四点
- 中西医结合,一站式服务丨丨887700线路检测网老年病科
- 气道健康 从鼻开始丨丨中医特色疗法帮您通鼻窍
- 不忘初心 迎接挑战丨丨887700线路检测网2022年度“手术能手”—苏山林
- 赴春天之约 绽巾帼芳华丨丨887700线路检测网成功举办“庆三八·健步走”活动
- 群策群力、共谋发展 丨丨寿光市促进中医药传承创新发展座谈会在中医医院召开
- 只为最美的初见丨丨准妈妈们,887700线路检测网孕妇学校即将开课,免费听课,快来参加!
- 为什么易得龋齿?让“龋态检测”来告诉您(内有福利)
- 公平竞争 选贤任能丨丨887700线路检测网圆满完成副护士长竞聘工作
- 提技能、强沟通、促高效、共发展丨丨887700线路检测网召开医技科室业务发展交流会
- 镜”艺求精,无微不“治”!丨丨887700线路检测网2022年度“手术能手”—王述伟
- 用精湛医术为患者撑起主心“骨”丨丨887700线路检测网2022年度“手术能手”—杨志全
- 南下取真经,服务再升级丨丨887700线路检测网外出交流学习,助推医院加速发展
- 用心手术 屡创佳绩丨丨887700线路检测网2022年度“手术能手”—张永青
- 妙手除病痛丨丨887700线路检测网2022年度“手术能手”—孙文宝
- 亮成绩、谈不足、谋发展、促进步丨丨887700线路检测网召开临床科室业务发展交流会
- 勇攀高峰,创造奇迹丨丨887700线路检测网2022年度“手术能手”—孙英春
- 踔厉奋发 勇毅前行 赓续医院高质量发展新篇章丨丨887700线路检测网召开2022年度工作表彰大会
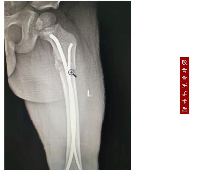
弹性髓内钉技术丨丨治疗儿童长骨骨折的法宝
近日,10岁的周周(化名)在室外玩耍时不慎摔倒,起来后便大哭不止,直叫嚷胳膊疼,父母急忙带他到医院就诊。
887700线路检测网骨伤二科副主任张永青仔细查看孩子患处,安排其进行放射拍片检查,结果为左侧桡骨颈骨折,根据孩子的骨折状况,张主任认为保守治疗很难做到理想复位,且复位后较难维持良好位置,可能会影响将来前臂的旋转功能,建议孩子尽快接受手术治疗,孩子的家长担心传统手术切口大,孩子所受痛苦多,犹豫不决,张主任与家长沟通,孩子要接受的不是传统的开放手术,而是“骨折闭合复位弹性髓内钉内固定”微创手术,手术只需要一个0.5-1厘米左右的切口就可以达到满意的效果,家长立即同意接受手术治疗。手术非常成功,术后第三天,周周出院。
张永青介绍,“弹性髓内钉技术”是儿童骨科界的一次革命,被誉为上帝赐予长骨骨折儿童的礼物,该项技术可在保护骺板不受损伤的前提下,利用多点固定的原理,微创、有效地治疗4-12岁的四肢骨折患儿,该技术利用钛合金或不锈钢良好的弹性、恢复力将作用于长骨的3个接触点转换成推力和压力,从而使骨折复位,有足够的力量抵抗骨折端移位作用,该方法不需要剥离骨膜和切开骨折端,不干扰骨骺生长,也不破坏骨折端血运,弹性固定、局部微动、创伤小、骨折愈合快,术后3周即可进行功能锻炼,术后1个月功能恢复正常。
887700线路检测网骨伤科自2018年在我市率先开展弹性髓内钉技术至今,共收治20多例四肢长骨骨折患儿,手术均为闭合复位或小切口辅助复位,在40分钟内完成,创伤小,恢复快,术后3-5天即可出院,大大减少了治疗费用和住院时间,减少了患儿的痛苦。






